¡ALERTA EPIDEMIOLÓGICA SARAMPIÓN!
¡ALERTA EPIDEMIOLÓGICA SARAMPIÓN!
El Ministerio de Salud de la Nación emitió una alerta (24/11/2025) por la circulación de 4 casos confirmados de sarampión en personas que viajaron por tierra a través de Argentina, procedentes de Bolivia y con destino a Uruguay.
El sarampión es una enfermedad altamente contagiosa que puede causar complicaciones graves, ¡y no tiene tratamiento específico! La única prevención es la vacunación.
???? LLAMADO A LA ACCIÓN URGENTE: Si viajaste entre el 13 y el 16 de noviembre en los ómnibus de las empresas Autobuses Quirquincho S.R.L, Balut Hermanos S.R.L o San José S.R.L (con recorridos por Salta, Jujuy, Santiago del Estero, CABA y Entre Ríos), debes estar atento/a.
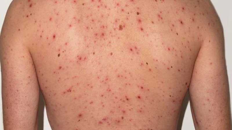
???? ¿QUÉ HACER SI TIENES SÍNTOMAS? Si presentas fiebre alta y exantema (manchas rojas en la piel), junto con secreción nasal, conjuntivitis o tos:
1. Concurre inmediatamente a un establecimiento de salud.
2. Usa barbijo y aclara que eres contacto de un caso confirmado de sarampión.
La Región de las Américas ha perdido recientemente su estatus de libre de sarampión, ¡la vigilancia es clave!
#Sarampión #AlertaEpidemiológica #MinisterioDeSalud #Vacunación #SaludPública #Argentina #TripleViral #prevención
https://www.instagram.com/p/DRdblVUAE4K/?igsh=MTZ2anNvYnpoY2t2ZA==
18.9 °C •
